You might wake up with a raw throat or notice your teeth look worn down, yet you never feel that classic chest burn associated with acid reflux.
You are not imagining things, and you certainly aren’t alone in feeling dismissed by standard medical advice that relies solely on heartburn as a diagnosis.
This condition is likely Laryngopharyngeal Reflux, also known as LPR or silent reflux, which attacks your airways and mouth rather than just your esophagus.
Because the symptoms happen while you sleep or manifest as respiratory issues, many people go years without proper treatment while the damage accumulates.
Silent Symptom Scanner
Here are the 13 definitive signs that your stomach is silently wrecking your sleep and health.
1. Obstructive Sleep Apnea and Snoring

When acid and pepsin travel up to your throat during the night, they cause significant inflammation and swelling in the soft tissues of your airway.
This swelling narrows the passage for air, which can lead to the onset of snoring or worsen existing sleep apnea conditions significantly.
As you struggle to breathe against this swollen tissue, the negative pressure created in your chest actually vacuums more stomach acid upward, creating a dangerous cycle that ruins your sleep quality.
- Swelling of the throat tissues narrows the airway
- Increased respiratory effort pulls more acid from the stomach
- Often misdiagnosed as purely weight related issues
- Disrupts deep REM sleep cycles causing fatigue
2. Morning Hoarseness

If you frequently wake up sounding like you have been shouting at a concert or smoking heavily, your vocal cords are likely suffering from overnight acid exposure.
Stomach fluid pools around the delicate vocal folds while you lie flat, causing edema or fluid retention that makes your voice sound raspy and deep.
This morning voice is a hallmark sign of silent reflux because it typically takes several hours of being upright for the fluid to drain and your voice to return to normal.
- Vocal cords become swollen and heavy from acid
- Raspy voice is most severe immediately after waking up
- Requires hours of upright posture to clear the voice
- Can lead to permanent vocal damage if ignored
The Acid Voice
-
Swollen Cords
Vocal cords become swollen and heavy from acid exposure.
-
Morning Raspiness
Raspy voice is most severe immediately after waking up.
-
Upright Relief
Requires hours of upright posture to clear the voice.
-
Permanent Damage
Can lead to permanent vocal damage if ignored.
3. Chronic Cough

A silent reflux cough is distinct because it is dry, nagging, and persists for more than eight weeks without any sign of a viral infection or cold.
This cough is triggered by irritation of the vagus nerve and the presence of pepsin particles in the throat that reactivate every time you eat or drink.
Research indicates that a significant percentage of unexplained chronic coughs are actually driven by the stomach rather than the lungs or allergies.
- Cough worsens after eating or lying down
- Dry and non productive without phlegm
- Persists for months despite using cough syrups
- Often triggered by talking or laughing
4. Waking Up Choking or Gasping

Waking up suddenly unable to breathe is a terrifying experience that occurs when acid touches the sensitive vocal cords during sleep.
Your body reacts with a laryngospasm, which is a violent protective reflex where the vocal cords slam shut to prevent acid from entering your lungs.
While this mechanism protects your lungs from aspiration, it leaves you gasping for air in a panic until the muscles relax and the airway opens again.
- Violent protective spasm of the vocal cords
- Causes sudden waking with a feeling of suffocation
- Often happens within the first few hours of sleep
- Can cause severe anxiety regarding sleep
5. Adult Onset Asthma

Many adults who are diagnosed with asthma later in life are actually suffering from reflux that is micro aspirating into their bronchial tubes.
When tiny droplets of stomach fluid enter the lungs, they cause constriction and inflammation that mimics allergic asthma perfectly.
If you find that your rescue inhalers do not provide much relief or if your asthma flares up after meals, the root cause is likely your digestive system irritating your lungs.
- Stomach fluid micro aspirates into the lungs
- Symptoms do not respond well to standard asthma inhalers
- Worsens after heavy meals or exercise
- Often lacks the typical allergic triggers of asthma
The “Silent” Asthma Trigger
-
Micro-Aspiration
Stomach fluid travels up and “micro-aspirates” into the lungs.
-
X
Inhalers Don’t Work
Symptoms often do not respond well to standard asthma inhalers.
-
Specific Triggers
Worsens after heavy meals or exercise.
-
Not Allergic
Often lacks the typical allergic triggers of asthma (like pollen).
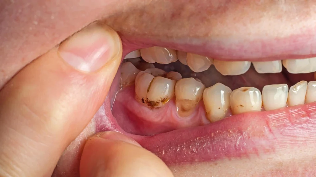
6. Dental Enamel Erosion

Your dentist is often the first medical professional to spot silent reflux because the signs in your mouth are undeniable and distinct from sugar decay.
Acid that sits in the mouth overnight eats away at the enamel, specifically on the back of the upper teeth and the biting surfaces of the molars.
This erosion creates a smooth and glassy appearance or small pot hole depressions on the chewing surfaces known as cupping, which leaves the yellow dentin exposed.
- Erosion occurs on the tongue side of teeth
- Teeth appear yellow, translucent, or glassy
- Enamel loss is permanent and cannot grow back
- Causes increased tooth sensitivity to hot and cold
7. Metallic or Bitter Taste

A persistent bad taste in the mouth that resembles old pennies or something bitter is a strong indicator of regurgitation reaching the oral cavity.
This dysgeusia often happens when you bend over to tie your shoes or lie down, as gravity allows fluids to escape the stomach sphincter.
Unlike the taste caused by gum disease, this flavor comes from the back of the throat and cannot be removed by brushing or using mouthwash.
- Tastes like metal, bile, or something sour
- Occurs frequently when bending over or lying flat
- Cannot be rinsed away with water or mints
- Often appears alongside a burning sensation
8. Burning Tongue and Mouth

This symptom is frequently misdiagnosed as Burning Mouth Syndrome when it is actually a chemical burn from stomach enzymes attacking the mucosal lining.
The sensation can feel like you just sipped scalding hot coffee and burnt your tongue, roof of the mouth, or even your lips.
It tends to fluctuate throughout the day and may get worse after consuming acidic foods or beverages that reactivate the pepsin sitting in your mouth tissues.
- Feels like a scald from hot food or drink
- Affects the tongue, lips, and roof of the mouth
- Often accompanied by dry mouth symptoms
- Worsens with acidic or spicy food consumption
9. Chronic Bad Breath

Halitosis caused by reflux is distinct because the odor originates from the stomach and esophagus rather than bacteria on the teeth or gums.
The smell is often described as acidic or vomit like because it is the scent of digesting food and gases escaping through a loose esophageal sphincter.
Because the source is deep within the digestive tract, dental hygiene habits like flossing and tongue scraping will simply mask the odor temporarily without removing it.
- Smell originates from the stomach gases
- Described as acidic, sour, or vomit like
- Persists despite excellent dental hygiene
- Can be a source of social embarrassment
The Stomach Breath Mystery
-
The Origin
Smell originates from stomach gases (not the mouth).
-
The Smell
Described as acidic, sour, or vomit-like.
-
X
Persists
Persists despite excellent dental hygiene.
-
Social Impact
Can be a source of social embarrassment.
10. Globus Sensation

The sensation of having a lump in the throat that you cannot swallow away is one of the most common and annoying symptoms of silent reflux.
It is not an actual growth or blockage but rather a spasm of the cricopharyngeus muscle caused by chronic inflammation and acid exposure.
The feeling often intensifies when you are stressed or swallowing saliva dryly, yet it usually disappears temporarily when you are eating or drinking actual food.
- Constant feeling of a lump or pill stuck in throat
- Caused by muscle tension and inflammation
- Often relieved temporarily while eating food
- Leads to frequent and useless swallowing
11. Excessive Throat Clearing

You may find yourself constantly clearing your throat to get rid of a feeling of excess mucus or stickiness. This is your body trying to wash away the irritating pepsin and protect the lining of the throat from further chemical damage.
Unfortunately, the physical act of grinding your vocal cords together to clear them causes more irritation and swelling, creating a self perpetuating cycle that is hard to break.
- Habitual need to clear throat to speak clearly
- Response to sticky sensation on vocal cords
- Physical friction damages throat tissue further
- Becomes a subconscious habit over time
12. Post Nasal Drip

When acid fumes reach the nasal passages, the sinuses react defensively by producing excessive amounts of thick mucus to coat the irritated areas.
This results in a constant dripping sensation down the back of the throat which can trigger coughing and nausea.
Many patients confuse this with allergies or chronic sinusitis, but allergy medications rarely dry up the drip because the trigger is chemical irritation from the stomach.
- Sinuses produce mucus to protect against acid fumes
- Drip is constant and irritates the throat
- Often misdiagnosed as allergies or sinus infection
- Worse in the morning after lying flat all night
13. Difficulty Swallowing

Over time, the chronic inflammation from silent reflux can cause scar tissue to form or swelling that narrows the food pipe.
This condition, known as dysphagia, makes it feel like food is traveling slowly down your chest or getting stuck on the way to the stomach.
It is a serious progression of the disease that can lead to issues with eating solid foods or swallowing pills and requires immediate medical attention.
- Sensation of food sticking in the chest
- Caused by inflammation or stricture of esophagus
- Can make swallowing pills or dry food difficult
- Requires medical evaluation to rule out damage
How to Manage These Symptoms?
If you recognize these signs, the most effective immediate step is to stop eating at least three to four hours before bedtime to ensure your stomach is empty before you lie down.
Drinking alkaline water with a pH above 8.8 can also help by denaturing the pepsin enzyme that is stuck in your throat tissues.
Finally, try sleeping on your left side or using an inclined bed riser to let gravity keep your stomach contents where they belong while you sleep.
